¿Quienes somos?
ReynaDentist: Más de 35 años de experiencia transformando sonrisas con calidad, ética y profesionalismo. Ubicados en Cd. Juárez, Chihuahua, ofrecemos atención personalizada con tecnología actualizada y un enfoque estético y funcional.
Nosotros
En ReynaDentist, contamos con Cirujanos Dentistas egresados de la Universidad Autónoma de Ciudad Juárez, con trayectorias consolidadas de más de tres décadas en el campo odontológico. A lo largo de sus carreras, han participado en más de 100 cursos, congresos y seminarios nacionales e internacionales en especialidades como endodoncia, estética dental, rehabilitación oral y diseño de sonrisa. Algunas de sus credenciales más destacadas incluyen:
- Diplomados en Odontología Estética y Oclusión Dental (Universidad Autónoma de Guerrero)
- Participación en congresos internacionales como ADA (American Dental Association) y AME (Asociación Mexicana de Endodoncia)
- Cursos especializados en diseño de sonrisa, carillas dentales y rehabilitaciones cerámicas
- Instructor y participante en diversos eventos de actualización dental
Servicios
Estetica Dental
Ofrecemos tratamientos integrales y personalizados para cuidar tu salud bucal y estética dental, con técnicas modernas, materiales de alta calidad y una atención cercana y profesional.
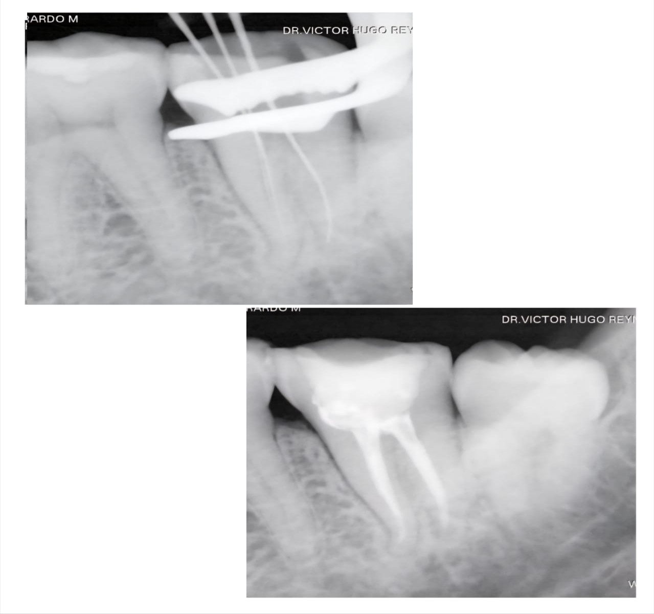
Endodoncia Avanzada
Tratamientos de conducto eficaces y precisos, eliminando infecciones profundas del diente y conservando su estructura. Con formación en diversos congresos de endodoncia y más de 20 años de experiencia en el área, empleamos técnicas modernas como la irrigación activa y tecnología de localización apical, minimizando molestias y acelerando la recuperación.
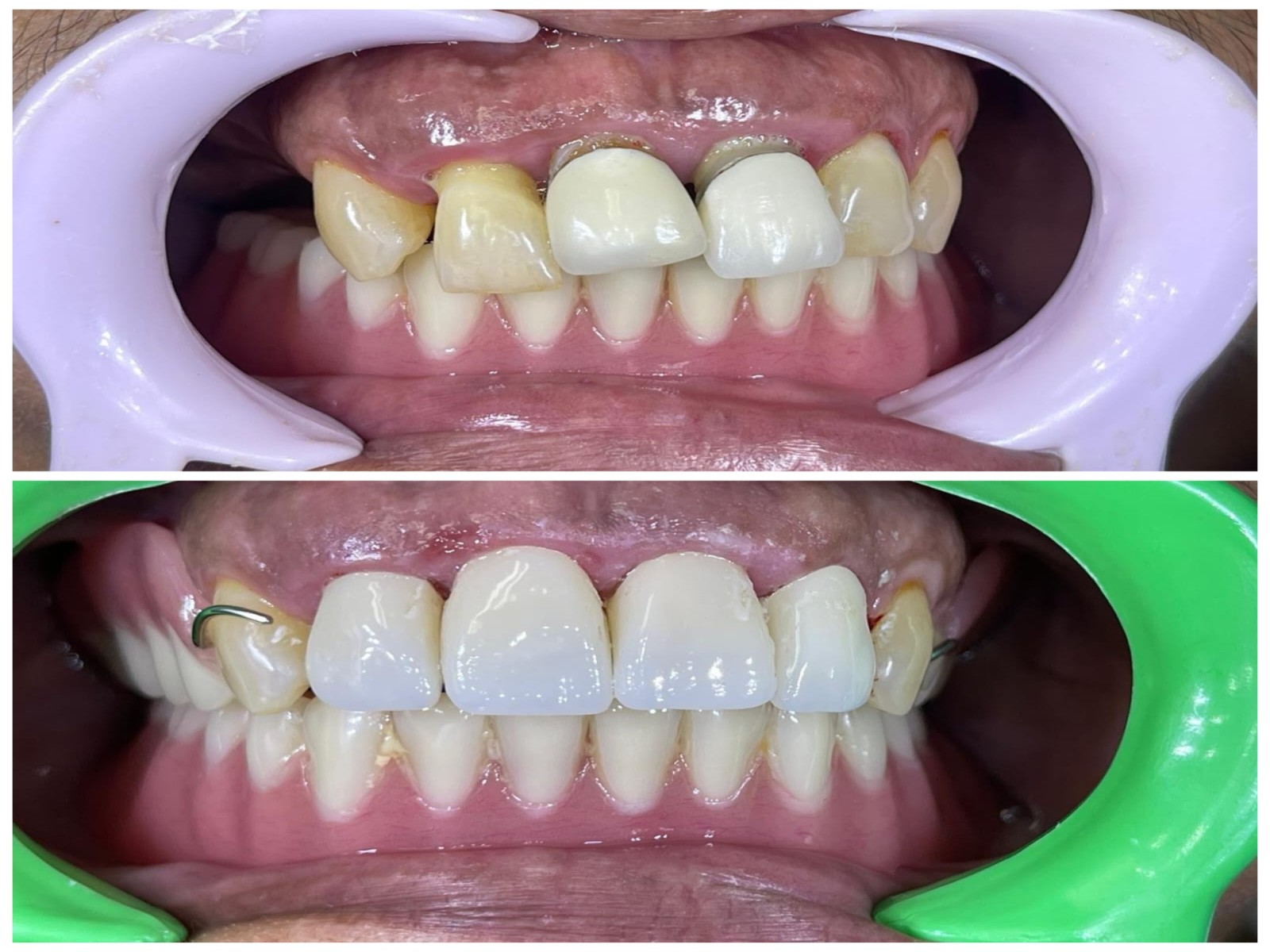
Odontología Integral / Rehabilitación Oral
Restauramos la función y estética de tu boca mediante coronas, puentes, incrustaciones y restauraciones cerámicas. Hemos participado en cursos especializados en rehabilitación oral y estética con cerámicas modernas, logrando soluciones duraderas, funcionales y visualmente agradables. Ideal para dientes fracturados, desgastados o con grandes restauraciones.
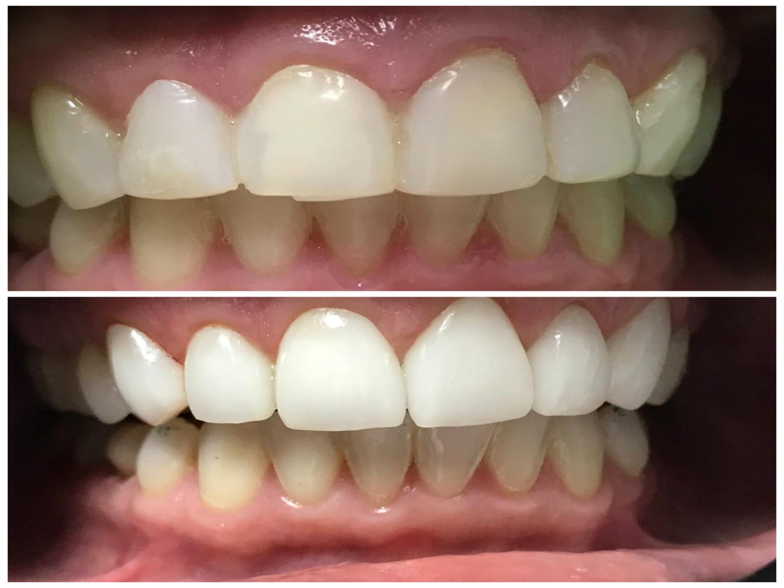
Carillas Dentales
Las carillas son una solución ideal para mejorar la forma, color y alineación de tus dientes sin tratamientos invasivos. Formado en múltiples cursos nacionales e internacionales sobre resinas inyectadas y carillas dentales, ofrecemos opciones altamente estéticas y personalizadas, con técnicas mínimamente invasivas y resultados inmediatos.
Prevención y Diagnostico
Evaluaciones clínicas completas, profilaxis, limpiezas profundas y educación en higiene bucal. La prevención es la base de una buena salud dental. Realizamos revisiones detalladas, limpieza con ultrasonido, eliminación de sarro, placa bacteriana y manchas superficiales
